C’est le Grand Hôpital Métropolitain de Reggio di Calabria, dans le sud de l’Italie, qui a annoncé lundi dans un communiqué l’histoire peu ordinaire d’une patiente ayant avalé un tournevis dentaire. Selon l’établissement, ses chirurgiens ont procédé « ces dernières semaines » au retrait d’un tournevis dentaire coincé dans les bronches d’une patiente, et l’intervention a été réalisée par bronchoscopie. L’outil a pu être retiré sans complication et la patiente a été hospitalisée avant de quitter l’hôpital en bonne santé.
À Reggio di Calabria, un tournevis dentaire retrouvé dans les bronches d’une patiente
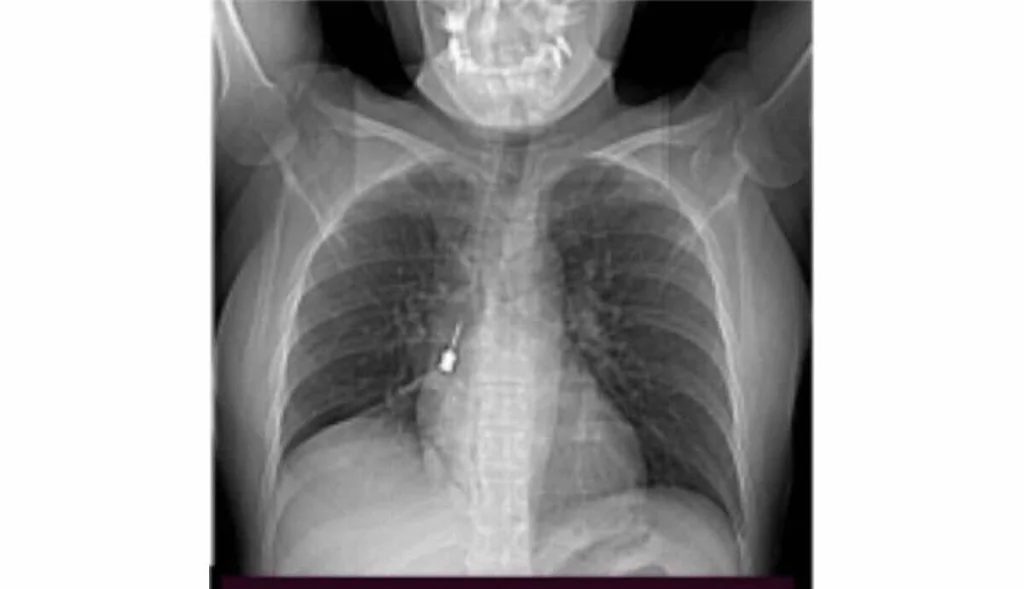
Un scanner a révélé « la présence d’un corps étranger métallique dangereux dans la bronche lobaire inférieure du poumon droit » associée à un pneumomédiastin. Compte tenu de la gravité, la patiente a été hospitalisée et transférée en salle d’opération pour une extraction du tournevis dentaire par bronchoscopie. L’outil a pu être retiré sans complication. « Le déroulement postopératoire, géré par l’excellente équipe de soins intensifs postopératoires (…) s’est déroulé normalement et la patiente a pu quitter l’hôpital en excellente santé », s’est encore félicité l’établissement.

Récit partagé par les médias français
Le récit a été repris par plusieurs titres en France, qui ont relayé les informations émises par le Grand Hôpital Métropolitain de Reggio di Calabria. Les textes décrivent la même chronologie: extraction par bronchoscopie et rétablissement sans complication, et indiquent que la patiente a pu quitter l’hôpital en bonne santé.
Ce cas a été relayé sans mention d’autres détails dans les dépêches françaises, qui se réfèrent toutes au communiqué initial de l’hôpital italien.
